Al Mayadeen English

  • Ar
  • Es
  • x
Al Mayadeen English

Slogan

  • News
    • Politics
    • Economy
    • Sports
    • Arts&Culture
    • Health
    • Miscellaneous
    • Technology
    • Environment
  • Articles
    • Opinion
    • Analysis
    • Blog
    • Features
  • Videos
    • NewsFeed
    • Video Features
    • Explainers
    • TV
    • Digital Series
  • Infographs
  • In Pictures
  • • LIVE
News
  • Politics
  • Economy
  • Sports
  • Arts&Culture
  • Health
  • Miscellaneous
  • Technology
  • Environment
Articles
  • Opinion
  • Analysis
  • Blog
  • Features
Videos
  • NewsFeed
  • Video Features
  • Explainers
  • TV
  • Digital Series
Infographs
In Pictures
  • Africa
  • Asia
  • Asia-Pacific
  • Europe
  • Latin America
  • MENA
  • Palestine
  • US & Canada
BREAKING
Al Mayadeen's correspondent in South Lebanon: Injuries reported after an Israeli aircraft struck a lumber mill between the towns of Toura and al-Abbasiya
Al Mayadeen's correspondent in South Lebanon: Israeli aircraft launch strike on outskirts of Toura, Tyre district.
Hezbollah: We pledge to remain in position of honor, dignity, and righteousness, to defend our land, our people, and the aspirations of future generations.
Hezbollah: We highly value patience of our steadfast and proud people, who endure oppression and aggression alongside us in the hope of preserving national sovereignty and dignity.
Hezbollah: From this perspective, we address current developments, reaffirming to all that this is the time to unify efforts to halt the Zionist violations, aggression, and escalation against our country
Hezbollah: Legitimate defense does not fall under framework of “decisions of war or peace”; rather, it is exercise of our right to resist an enemy that imposes war upon our land, refuses to cease its assaults, seeking to subdue our state.
Hezbollah: As a founding component of Lebanon, the nation we are committed to as a final homeland for all its children, we reaffirm our legitimate right to resist occupation and aggression.
Hezbollah: Negotiations [with "Israel"] carry no national interest and pose existential risks to Lebanon’s sovereignty and entity.
Hezbollah: Lebanon must not, under any circumstances, yield to aggressive blackmail or be lured into political negotiations with the Zionist enemy.
Hezbollah: With this savage enemy, backed by the American tyrant, there can be no room for maneuver or deceit.

AI tool accurately predicts tumor regrowth in cancer patients

  • By Al Mayadeen Net
  • Source: Agencies
  • 23 Apr 2022 15:13
4 Min Read

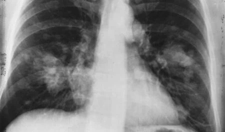
The tool estimates the likelihood of tumor regrowth in cancer patients after treatment.

  • x
  • AI tool accurately predicts tumor regrowth in cancer patients
    AI tool accurately predicts tumor regrowth in cancer patients.

Doctors and scientists have created an artificial intelligence program that can reliably forecast the likelihood of tumor regrowth in cancer patients after therapy.

Clinical oncologists characterize the finding as "exciting," given that it has the potential to transform patient monitoring. While recent therapy improvements have increased survival prospects, there is still a potential that cancer will recur.

Monitoring patients following treatment is critical to ensuring that any cancer recurrence is addressed as soon as possible. Currently, clinicians must rely on traditional methods, such as those that focus on the initial amount and spread of cancer, to forecast how a patient will perform in the future.

A world-first study led by the Royal Marsden NHS Foundation Trust, the Institute of Cancer Research, London, and Imperial College London has developed a machine-learning – a type of AI – model that can predict the probability of cancer recurrence and outperforms existing methods.

“This is an important step forward in being able to use AI to understand which patients are at highest risk of cancer recurrence, and to detect this relapse sooner so that re-treatment can be more effective,” said Dr. Richard Lee, a consultant physician in respiratory medicine and early diagnosis at the Royal Marsden NHS Foundation Trust.

Less anxiety, better life

The OCTAPUS-AI study's principal investigator, Dr. Richard Lee, told the Guardian that it might be crucial in not only improving outcomes for cancer patients but also relieving their anxieties, with relapse "a primary cause of anxiety" for many. "We hope to push the boundaries to improve cancer patients' care, help them live longer lives, and lessen the impact of the disease on their lives."

Related News

New AI tool can accurately detect cancer, researchers say

MIT develops AI that predicts lung cancer years in advance

The AI tool may result in recurrence being recognized earlier in high-risk individuals, ensuring they receive treatment more quickly, but it may also result in fewer unneeded follow-up scans and hospital visits for those at low risk.

“Reducing the number of scans needed in this setting can be helpful, and also reduce radiation exposure, hospital visits, and make more efficient use of valuable NHS resources,” Lee said.

In the retrospective study, clinicians, scientists, and researchers created a machine learning model to see if it could reliably identify patients with non-small cell lung cancer (NSCLC) who were at risk of recurrence after radiation. Machine learning is a type of AI that allows the software to predict outcomes automatically.

Lung cancer is the leading cause

Lung cancer is the major cause of cancer death worldwide, accounting for slightly more than a fifth (21%) of cancer fatalities in the United Kingdom. NSCLC accounts for approximately five-sixths (85 percent) of all lung cancer occurrences, and the disease is often treatable if detected early. In the UK, however, more than a third (36%) of NSCLC patients have a recurrence.

The researchers fed their algorithm with clinical data from 657 NSCLC patients treated at five UK hospitals, as well as data on numerous prognostic markers to better predict a patient's probability of recurrence.

These comprised the patient's age, gender, BMI, smoking status, radiation intensity, and tumor features. The AI model was then utilized by the researchers to define patients as having a low or high risk of recurrence, how long they might experience until recurrence, and overall survival two years after therapy.

The tool was proven to be more accurate than traditional approaches in forecasting outcomes. The findings of the study, which was funded by the Royal Marsden Cancer Charity and the National Institute for Health Research, were published in the journal The Lancet’s eBioMedicine.

“Right now, there is no set framework for the surveillance of non-small cell lung cancer patients following radiotherapy treatment in the UK,” said study lead Dr. Sumeet Hindocha, a clinical oncology specialist registrar at the Royal Marsden and Imperial College London. “This means there is variation in the type and frequency of follow-up that patients receive … Using AI with healthcare data may be the answer.

“As this type of data can be accessed easily, this methodology could be replicated across different health systems.”

The study represents an "exciting first step" toward developing a tool to guide cancer patients' post-treatment surveillance on a national and worldwide scale, according to Hindocha.

  • Artificial Intelligence
  • Cancer
  • Lung cancer

Most Read

People take part in the combat training course at the recruiting center of the Ukrainian Armed Forces in Kharkiv on April 14, 2022 (Sergey Bobok/AFP via Getty Images)

Ukrainian conscription crisis sees 100,000 youth flee in 2 months

  • Politics
  • 30 Oct 2025
People walk past a domestically-built missile "Khaibar-buster," and banners showing portraits of Iranian Leader Ayatollah Ali Khamenei, center, and the late armed forces commanders at Baharestan Square in Tehran, Thursday, September 25, 2025

IRGC reveals new details on Haniyeh assassination and Iran’s response

  • Politics
  • 3 Nov 2025
Jimmy Wales speaking in Montreal, April 11, 2016. (AP / PA Images)

Wikipedia founder comments on Gaza genocide article sparks backlash

  • Politics
  • 3 Nov 2025
Gaza and the death of morality (Photo by Mahdi Rtail)

Gaza and the death of morality

  • Politics
  • 31 Oct 2025

Coverage

All
War on Gaza

Read Next

All
Israeli police officers scuffle with ultra-Orthodox Jewish men during a protest against a potential new draft law which could end their exemptions from military service in Jerusalem, Thursday, October 31, 2024. (AP Photo/Ohad Zwigenberg)
Politics

Netanyahu pushes military draft exemption law to save coalition

The trace of a projectile is seen before hitting Tel Aviv, early Saturday, June 14, 2025. (AP)
Politics

Iran missile capabilities stronger than pre-June aggression: Araghchi

An Al-Qassam fighter filmed during the deception operation while Israeli drones survey the site, Gaza, 2025 (Screengrab)
Politics

Al-Qassam publish footage of deception op. during 'captive' retrieval

President Donald Trump speaks to the America Business Forum Miami, at the Kaseya Center, Wednesday, Nov. 5, 2025, in Miami. (AP)
Politics

'We'll take care of it': Trump says after Mamdani wins NYC

Al Mayadeen English

Al Mayadeen is an Arab Independent Media Satellite Channel.

All Rights Reserved

  • x
  • Privacy Policy
  • About Us
  • Contact Us
  • Authors
Android
iOS